Search This Blog

Dokter Angkat 300 Batu Ginjal di Tubuh Perempuan yang Gak Doyan Minum Air Putih

kumparan - #kumparanAdalahJawaban
 
Dokter Angkat 300 Batu Ginjal di Tubuh Perempuan yang Gak Doyan Minum Air Putih
Dec 18th 2023, 07:35, by Habib Allbi Ferdian, kumparanSAINS

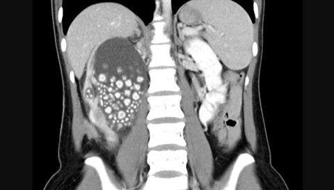
Penampakan batu ginjal di tubuh seorang wanita di Tainan, Taiwan.  Foto: Chi Mei Hospital
Penampakan batu ginjal di tubuh seorang wanita di Tainan, Taiwan. Foto: Chi Mei Hospital

Seorang wanita berusia 20 tahun di Tainan, Taiwan, harus menjalani operasi karena di dalam tubuhnya terdapat lebih dari 300 batu ginjal. Apa rasanya?

Dilaporkan ET Today, wanita bernama Xiao Yu dilarikan ke Rumah Sakit Chi Mei di Tainan dengan gejala demam dan nyeri hebat di punggung bawahnya. Hasil rontgen menunjukkan di ginjalnya ada ratusan butir seperti kelereng yang diidentifikasi sebagai batu ginjal kecil.

Batu ginjal adalah endapan keras yang terbuat dari mineral dan garam asam yang mengendap dalam urine yang terkonsentrasi. Batu ginjal ini dapat menyakitkan saat melewati saluran kemih, tetapi biasanya tidak menyebabkan kerusakan permanen.

Gejala paling umum berupa nyeri parah, biasanya di sisi perut disertai dengan mual. Perawatan meliputi pereda nyeri dan banyak minum air putih untuk membantu meluruhkan batu. Prosedur medis mungkin diperlukan untuk mengambil atau menghancurkan batu yang besar.

Lebih dari 300 batu ginjal diangkat dari tubuh wanita di Tainan, Taiwan.  Foto: Chi Mei Hospital
Lebih dari 300 batu ginjal diangkat dari tubuh wanita di Tainan, Taiwan. Foto: Chi Mei Hospital

Nah, Yu diketahui memang gak doyan minum air putih dan lebih memilih teh manis atau jus saat merasa haus. Hal ini menyebabkan dehidrasi kronis dan penumpukan mineral di ginjalnya.

Dokter lantas memberinya antibiotik dan melakukan operasi untuk menghilangkan batu ginjal tersebut. Menurut tim medis, batu ginjal itu mirip dengan "roti kukus kecil". Setelah prosedur operasi dilakukan, dokter menemukan lebih dari 300 batu ginjal di tubuh pasien, ukurannya antar berdiameter 0,5 cm hingga 2 cm.

Dengan adanya kasus ini, ahli urologi di Rumah Sakit Chi Mei, Lin Tsai-yang, mengimbau agar masyarakat lebih banyak minum air putih agar tubuh dapat memproses asupan zat seperti gula, garam, dan kalsium secara baik. Yu disebut menjadi contoh nyata dari bahaya kekurangan hidrasi dan kebiasaan minum yang tidak sehat.

Tsai-yang mengatakan rata-rata pria tiga kali lebih mungkin terkena batu ginjal. Di Taiwan, 14,9 persen pria cenderung mengalami batu ginjal seumur hidupnya, dibandingkan wanita yang hanya 4,3 persen.

Media files:
01hhtq9801j98mqbv8adn427dr.png (image/jpeg)
You are receiving this email because you subscribed to this feed at blogtrottr.com. By using Blogtrottr, you agree to our policies, terms and conditions.

If you no longer wish to receive these emails, you can unsubscribe from this feed, or manage all your subscriptions.

Tidak ada komentar:

Posting Komentar